Question 1
The diagram shows a staggered transverse section (cut across rather than down) through the heart.

In what state are the valves when the ventricles are contracting?
| X | Y | Z | |
| A. | Open | Closed | Closed |
| B. | Closed | Closed | Open |
| C. | Closed | Open | Open |
| D. | Open | Open | Closed |
Easy
Mark as Complete
Mark Scheme
Question 2
Which structures are part of the walls of both capillaries and veins?
I. Cells
II. Pores
III. Elastic fibres
A. I only
B. I and II
C. I and III
D. I, II and III
Easy
Mark as Complete
Mark Scheme
Question 3
The light micrograph shows two blood vessels, an artery and a vein, in transverse section.

What explains the different shapes of these blood vessels?
A. Arteries do not have valves.
B. Muscle cells are found only in the walls of veins.
C. Arteries have a larger lumen-to-wall thickness ratio.
D. There are fewer elastic fibers in the walls of veins.
Easy
Mark as Complete
Mark Scheme
Question 4
Which adaptation would allow plants to live in saline irrigated soil?
A. Small, shallow roots
B. Active uptake and compartmentalization of mineral ions to maintain homeostasis
C. Increased transpiration to replace water in stems
D. Leaves with a large surface area for increased photosynthesis
Easy
Mark as Complete
Mark Scheme
Question 5
The image shows part of a section through the stem of a non-woody plant.

[Source: © Ross Koning. Image used with the kind permission of the author. http://plantphys.info.]
Which feature distinguishes the transport of materials in the tissue labelled I from that in the tissue labelled II?
A. In II, active transport is used.
B. In II, products of photosynthesis are transported.
C. In I, movement of materials is the result of transpiration.
D. In I, there is a higher solute concentration.
Medium
Mark as Complete
Mark Scheme
Question 6
The diagram shows the longitudinal section of phloem tissue at a plant source.

What is the function of the structures labelled X?
A. To provide the companion cell with carbon dioxide
B. To provide the companion cell with glucose
C. To allow movement of sucrose into the sieve tube
D. To allow movement of starch into the sieve tube
Medium
Mark as Complete
Mark Scheme
Question 7
Explain how carbohydrates are transported from plant leaves. [7]
Medium
Mark as Complete
Mark Scheme
Question 8
In an investigation to compare the elasticity of arteries and veins, rings of the same diameter (20 mm) of artery and vein tissue were cut from blood vessels obtained from a mammal.

Each ring was attached to a clamp. Multiple masses of 10 g were added and removed. The vertical diameter of the artery and the vein was measured, both with the mass and once the mass had been removed.

The results are shown in the table.

Explain the differences between the results shown for vein and artery. [3]
Hard
Mark as Complete
Mark Scheme
Question 9
Explain how valves control the flow of blood through the heart. [4]
Medium
Mark as Complete
Mark Scheme
Question 10
Distinguish between the xylem and phloem of plants. [4]
Medium
Mark as Complete
Mark Scheme
Question 1
The diagram shows a staggered transverse section (cut across rather than down) through the heart.

In what state are the valves when the ventricles are contracting?
| X | Y | Z | |
| A. | Open | Closed | Closed |
| B. | Closed | Closed | Open |
| C. | Closed | Open | Open |
| D. | Open | Open | Closed |
Answer: B
A. Incorrect. When ventricles contract, blood pressure in ventricles rises sharply. This forces AV valves (tricuspid and bicuspid) to close to stop blood flowing backward into the atria. Meanwhile, the pressure opens the semilunar valves (pulmonary and aortic) so that blood can be pumped out of the heart. X = Tricuspid valve, Y = bicuspid valve, Z = pulmonary and aortic valve. Meaning X, Y close, Z open.
B. Correct. When ventricles contract, blood pressure in ventricles rises sharply. This forces AV valves (tricuspid and bicuspid) to close to stop blood flowing backward into the atria. Meanwhile, the pressure opens the semilunar valves (pulmonary and aortic) so that blood can be pumped out of the heart. X = Tricuspid valve, Y = bicuspid valve, Z = pulmonary and aortic valve.
C. Incorrect. When ventricles contract, blood pressure in ventricles rises sharply. This forces AV valves (tricuspid and bicuspid) to close to stop blood flowing backward into the atria. Meanwhile, the pressure opens the semilunar valves (pulmonary and aortic) so that blood can be pumped out of the heart. X = Tricuspid valve, Y = bicuspid valve, Z = pulmonary and aortic valve. Meaning X, Y close, Z open.
D. Incorrect. When ventricles contract, blood pressure in ventricles rises sharply. This forces AV valves (tricuspid and bicuspid) to close to stop blood flowing backward into the atria. Meanwhile, the pressure opens the semilunar valves (pulmonary and aortic) so that blood can be pumped out of the heart. X = Tricuspid valve, Y = bicuspid valve, Z = pulmonary and aortic valve. Meaning X, Y close, Z open.
Question 2
Which structures are part of the walls of both capillaries and veins?
I. Cells
II. Pores
III. Elastic fibres
A. I only
B. I and II
C. I and III
D. I, II and III
Answer: A
A. Correct. Both capillaries and veins have cells in their walls. Pores are present in capillaries, but veins do not have pores. Elastic fibers are found in veins, but capillaries are too thin and do not contain elastic fibers.
B. Incorrect. Pores are present in capillaries, but veins do not have pores.
C. Incorrect. Elastic fibers are found in veins, but capillaries are too thin and do not contain elastic fibers.
D. Incorrect. Both capillaries and veins have cells in their walls. Pores are present in capillaries, but veins do not have pores. Elastic fibers are found in veins, but capillaries are too thin and do not contain elastic fibers.
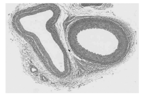
Question 3
The light micrograph shows two blood vessels, an artery and a vein, in transverse section.

What explains the different shapes of these blood vessels?
A. Arteries do not have valves.
B. Muscle cells are found only in the walls of veins.
C. Arteries have a larger lumen-to-wall thickness ratio.
D. There are fewer elastic fibers in the walls of veins.
Answer: D
A. Incorrect. It’s true that arteries generally lack valves, while veins have valves to prevent backflow. However, valves do not explain the difference in shape between arteries and veins. They affect flow direction, not wall thickness or shape.
B. Incorrect. Muscle cells are found in both arteries and veins. Arteries have more smooth muscles to withstand and regulate higher pressure.
C. Incorrect. Arteries have a small lumen and thick wall, to withstand high pressure, meaning smaller lumen-to-wall thickness ratio.
D. Correct. Arteries contain many elastic fibers in their thick walls, allowing them to stretch and recoil under high blood pressure. Veins have fewer elastic fibers, so their walls are thinner, less rigid, and their shape often collapses when not filled with blood.
Question 4
Which adaptation would allow plants to live in saline irrigated soil?
A. Small, shallow roots
B. Active uptake and compartmentalization of mineral ions to maintain homeostasis
C. Increased transpiration to replace water in stems
D. Leaves with a large surface area for increased photosynthesis
Answer: B
A. Incorrect. Shallow roots limit water access and are not helpful in saline soil.
B. Correct. Halophytes actively take up ions (e.g., K⁺) and store Na⁺ and Cl⁻ in vacuoles to maintain osmotic balance. This keeps cytoplasm less salty and prevents dehydration, allowing the plant to maintain water uptake and cell function despite high salt concentration outside.
C. Incorrect. In saline soil, water is scarce, and high transpiration would worsen water loss.
D. Incorrect. Large leaf surface area, meaning more water loss through transpiration.
Question 5
The image shows part of a section through the stem of a non-woody plant.

[Source: © Ross Koning. Image used with the kind permission of the author. http://plantphys.info.]
Which feature distinguishes the transport of materials in the tissue labelled I from that in the tissue labelled II?
A. In II, active transport is used.
B. In II, products of photosynthesis are transported.
C. In I, movement of materials is the result of transpiration.
D. In I, there is a higher solute concentration.
Answer: D
A. Incorrect. Xylem has thicker cell walls, use passive transport to move water and minerals in plants. Phloem has thinner cell walls, use active transport to move amino acids and sugar in plant. Therefore, I is phloem and II is xylem. Meaning, II uses active transport not passive transport.
B. Incorrect. Xylem has thicker cell walls, use passive transport to move water and minerals in plants. Phloem has thinner cell walls, use active transport to move amino acids and sugar in plant. Therefore, I is phloem and II is xylem. Meaning, I transport photosynthesis products, not II.
C. Incorrect. Xylem has thicker cell walls, use passive transport to move water and minerals in plants. Phloem has thinner cell walls, use active transport to move amino acids and sugar in plant. Therefore, I is phloem and II is xylem. Meaning, the movement of II is due to transpiration, not I. The movement of I is driven by active transport.
D. Correct. Xylem has thicker cell walls, use passive transport to move water and minerals in plants. Phloem has thinner cell walls, use active transport to move amino acids and sugar in plant. Therefore, I is phloem and II is xylem. Meaning, I have a higher solute concentration than II.
Question 6
The diagram shows the longitudinal section of phloem tissue at a plant source.

What is the function of the structures labelled X?
A. To provide the companion cell with carbon dioxide
B. To provide the companion cell with glucose
C. To allow movement of sucrose into the sieve tube
D. To allow movement of starch into the sieve tube
Answer: C
A. Incorrect. Structure X refers to the plasmodesmata, which is the tiny cytoplasmic channels between the companion cell and the sieve tube element. Carbon dioxide diffuses through stomata from the air, not via the phloem or plasmodesmata.
B. Incorrect. Structure X refers to the plasmodesmata, which is the tiny cytoplasmic channels between the companion cell and the sieve tube element. Glucose is converted to sucrose before transport. Companion cells usually export sucrose, not import glucose.
C. Correct. Structure X refers to the plasmodesmata, which is the tiny cytoplasmic channels between the companion cell and the sieve tube element. At the source, sucrose is produced by photosynthesis in mesophyll cells. It then moves into companion cells and through plasmodesmata into sieve tube elements.
D. Incorrect. Structure X refers to the plasmodesmata, which is the tiny cytoplasmic channels between the companion cell and the sieve tube element. Starch is insoluble and not transported in the phloem. It’s stored in chloroplasts or amyloplasts in tissues like roots and tubers.
Question 7
Explain how carbohydrates are transported from plant leaves. [7]
Seven of the following:
a. translocation/movement by mass flow;
b. in phloem sieve tubes;
c. sieve plates/pores in end walls/lack of organelles allows flow (of sap);
d. carbohydrates (principally) transported as sucrose;
e. (sucrose/glucose/sugar/carbohydrate) loaded (into phloem) by active transport;
f. loading/pumping in (of sugars) by companion cells;
g. high solute concentration generated (at the source);
h. water enters by osmosis (due to the high solute concentration);
i. hydrostatic pressure increased/high hydrostatic pressure generated;
j. pressure gradient causes flow (from source to sink);
k. leaves are a source because carbohydrates are made there;
l. transport to the sink where carbohydrates are used/stored;
Sample answer:
Carbohydrates produced in the leaves during photosynthesis are transported through translocation, which occurs by mass flow [1], taking place in the phloem sieve tubes [1]. The sieve plates between sieve tube elements have pores and lack organelles, reducing resistance and allowing the sap to flow easily [1]. The main carbohydrate transported is sucrose [1], is actively loaded [1] into the phloem from the mesophyll cells by companion cells, using ATP for energy [1]. This creates a high solute concentration in the sieve tubes at the source [1], causing water to enter by osmosis from the adjacent xylem vessels into the phloem [1], produces a high hydrostatic pressure [1]. This pressure difference between the source and the sink drives the mass flow of phloem sap along a pressure gradient [1], with the leaves act as the source where sugars are produced, while roots, fruits, or storage tissues act as sinks, where sugars are unloaded [1]. At the sink, sucrose is converted to starch or used in respiration, lowering solute concentration and maintaining the pressure gradient [1].
Question 8
In an investigation to compare the elasticity of arteries and veins, rings of the same diameter (20 mm) of artery and vein tissue were cut from blood vessels obtained from a mammal.

Each ring was attached to a clamp. Multiple masses of 10 g were added and removed. The vertical diameter of the artery and the vein was measured, both with the mass and once the mass had been removed.

The results are shown in the table.

Explain the differences between the results shown for vein and artery. [3]
Three of the following:
a. veins have thinner walls than arteries
b. veins sustain lower blood pressure than arteries
c. when stretched, veins become longer than arteries
d. veins have less muscle/elastic fibre in their walls than arteries
e. veins have lower elasticity/recover less/remain more stretched than arteries after weights removed
Sample answer:
The experiment shows the difference in elasticity of veins and arteries. When stretched, veins become longer than arteries [1], and veins remain more stretched out than arteries after the weights removed [1]. Veins have thinner walls [1], sustain lower blood pressure than arteries [1], and have fewer elastic fibers in their walls compared to arteries [1]. This shows that veins have lower elasticity than arteries, leading to veins remaining more stretched out after the experiment.
Question 9
Explain how valves control the flow of blood through the heart. [4]
Four of the following:
a. prevents backflow/ensures one-way flow/controls direction of flow
b. open valves allow blood to flow through/ opening and closing of valves controls timing of blood flow during cardiac cycle
c. closed semilunar valves allow ventricles/chambers to fill with blood/ pressure in ventricles to rise rapidly
d. valves open when pressure is higher upstream/ converse for closed valves
e. AV/bicuspid/tricuspid/mitral valves prevent backflow from ventricle to atrium OR AV/bicuspid/tricuspid/mitral valves open when pressure in atrium is higher than in the ventricle/when atrium is pumping/contracting
f. semilunar/aortic/pulmonary valves prevent backflow from artery to ventricle OR semilunar/aortic/pulmonary valves open when pressure in ventricle is higher than in the artery/when ventricle is pumping/contracting
Sample answer:
Valves in the heart ensure one-way flow of blood and prevent backflow between chambers and blood vessels [1]. They open and close in response to pressure changes, which controls the timing and direction of blood flow during the cardiac cycle [1]. Valves only open when the pressure is higher upstream, allowing blood flow, and when they close, they prevent reverse flow and allow chambers to fill or build pressure [1]. AV valves close during atrium contraction to prevent backflow into the atria [1]. Semilunar valves close during ventricle contraction to prevent backflow from arteries into the ventricles [1].
Question 10
Distinguish between the xylem and phloem of plants. [4]
Four of the following:
| Xylem | Phloem |
| transports water/ mineral ions | sucrose/ sugars/ amino acids/ organic/ carbon compounds/ products of photosynthesis/ food |
| from roots to leaves | from source/leaves to sink/roots |
| dead/no membranes/no organelles | living/membranes present/ some organelles |
| no cross/ end walls/ hollow/ continuous tubes | sieve plates /perforated walls/ separate elements |
| flow due to low pressures/ tension /suction | flow due to high pressure/pressure gradient |
| thicker walls | thinner walls |
| lignified walls / gives support / forms wood | does not provide support/strength |
| wider lumen | narrower lumen |
Sample answer:
Xylem transports water and mineral ions, whereas phloem transports sucrose, amino acids, and other organic products of photosynthesis [1]. Xylem carries materials from roots to leaves, while phloem transports materials from sources to sinks [1]. Xylem vessels consist of dead cells with no membranes or organelles, but phloem consists of living cells that contain membranes and some organelles [1]. Xylem vessels form continuous hollow tubes with no cross walls, whereas phloem cells are separated by sieve plates with pores that allow flow between sieve tube elements [1]. Flow in the xylem occurs under low pressure due to tension and suction from transpiration, while flow in the phloem occurs under high pressure generated by active loading of sugars [1]. Xylem cell walls are thick and lignified, providing structural support and forming wood [1], while phloem walls are thinner and do not contribute significant strength [1]. Xylem has a wider lumen to allow efficient water flow, while phloem has a narrower lumen suited to the movement of sap [1]. Transport in xylem is passive, driven by transpiration pull, while transport in phloem requires energy during loading and unloading [1].
Question 1
The diagram shows a staggered transverse section (cut across rather than down) through the heart.

In what state are the valves when the ventricles are contracting?
| X | Y | Z | |
| A. | Open | Closed | Closed |
| B. | Closed | Closed | Open |
| C. | Closed | Open | Open |
| D. | Open | Open | Closed |
Question 2
Which structures are part of the walls of both capillaries and veins?
I. Cells
II. Pores
III. Elastic fibres
A. I only
B. I and II
C. I and III
D. I, II and III
Question 3
The light micrograph shows two blood vessels, an artery and a vein, in transverse section.

What explains the different shapes of these blood vessels?
A. Arteries do not have valves.
B. Muscle cells are found only in the walls of veins.
C. Arteries have a larger lumen-to-wall thickness ratio.
D. There are fewer elastic fibers in the walls of veins.
Question 4
Which adaptation would allow plants to live in saline irrigated soil?
A. Small, shallow roots
B. Active uptake and compartmentalization of mineral ions to maintain homeostasis
C. Increased transpiration to replace water in stems
D. Leaves with a large surface area for increased photosynthesis
Question 5
The image shows part of a section through the stem of a non-woody plant.

[Source: © Ross Koning. Image used with the kind permission of the author. http://plantphys.info.]
Which feature distinguishes the transport of materials in the tissue labelled I from that in the tissue labelled II?
A. In II, active transport is used.
B. In II, products of photosynthesis are transported.
C. In I, movement of materials is the result of transpiration.
D. In I, there is a higher solute concentration.
Question 6
The diagram shows the longitudinal section of phloem tissue at a plant source.

What is the function of the structures labelled X?
A. To provide the companion cell with carbon dioxide
B. To provide the companion cell with glucose
C. To allow movement of sucrose into the sieve tube
D. To allow movement of starch into the sieve tube
Question 7
Explain how carbohydrates are transported from plant leaves. [7]
Question 8
In an investigation to compare the elasticity of arteries and veins, rings of the same diameter (20 mm) of artery and vein tissue were cut from blood vessels obtained from a mammal.

Each ring was attached to a clamp. Multiple masses of 10 g were added and removed. The vertical diameter of the artery and the vein was measured, both with the mass and once the mass had been removed.

The results are shown in the table.

Explain the differences between the results shown for vein and artery. [3]
Question 9
Explain how valves control the flow of blood through the heart. [4]
Question 10
Distinguish between the xylem and phloem of plants. [4]